Skip Menu

Pomona Office: (845) 670-4355 |
Central Valley Office: (845) 670-4355

  • 11 Medical Park Drive,
  • Suite 202,
  • Pomona, NY 10970
  • Home
  • Gum Disease
    • Bad Breath
    • Bleeding Gums
    • Loose Teeth
    • Gum Recession
    • Gum Disease Stages
    • Gum Disease Dangers
    • Gum Disease Health
    • Tooth and Bone Loss
  • Dental Implants
    • Dental Implant Information
    • Teeth Surgery
    • Fix Missing Teeth
    • Benefits of Dental Implants
    • Implant Supported Dentures
    • All-on-4® Dental Implants
    • Teeth-in-a-Day
  • Laser
    • LANAP® Laser Treatment
    • Laser Gum Surgery
    • Fix Bleeding Gums
    • LANAP® FAQs
    • LANAP® Laser Pack
  • Services
      • Bone Grafting
      • Gingivectomy
      • Guided Tissue Bone Regeneration
      • Gum Grafting
      • Occlusal Adjustment
      • Oral Cancer Screening
      • Osseous Surgery
      • Periodontal Maintenance
      • Periodontal Plastic Surgery
      • Preventive Dentistry
      • Ridge Augmentation
      • Ridge Preservation
      • Scaling and Root Planing
      • Sedation
      • Sinus Lift
      • TMJ
      • Tooth Extraction
      • Wisdom Teeth
    • View All
  • Patient Center
    • Our Office
    • Meet Our Doctor
    • Special Offers
    • Review Us on Google+ Local
    • Review Us on Yahoo! Local
    • Before and After Photos
    • Patient Testimonials
    • Patient Form Downloads
    • Frequently Asked Questions
  • Contact
    • Contact Us
    • Request Appointment
    • Blog

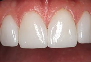
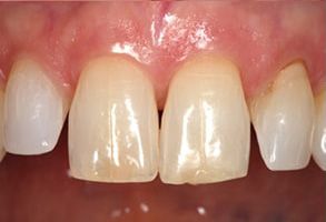
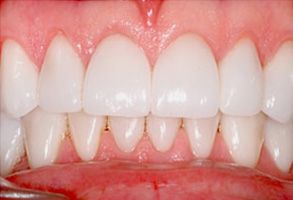
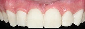
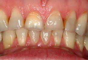
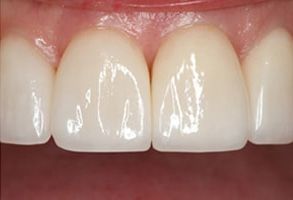
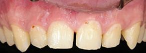
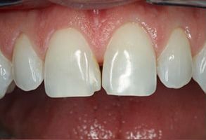
Smile Gallery

Our Location

11 Medical Park Drive
Suite 202
Pomona, NY 10970
Current Patients: (845) 354-1503
New Patients: (845) 670-4355
Fax: (845) 354-1792

Follow Us

Download LANAP® Information

Don't wait. Book an Appointment Now!

Dr. Jonathan Tiger of Tiger Periodontics and Dental Implants, is a leading periodontist in the Pomona, NY area. His office utilizes advanced techniques to ensure each patient receives the comfortable care and attention they deserve. Dr. Tiger performs the LANAP® Laser Treatment for gum disease, dental implants, gum grafting surgery, periodontal plastic surgery, bone grafting, sedation, and All-on-4® Implants.

Call (845) 670-4355 to schedule your appointment at the Pomona location or click here to request your appointment online!

Request an Appointment